
Ok, seios de uma maneira geral não deveriam emitir sons, e isso não é exceção para os implantes de “formosuramento”. Entretanto, uma mulher relatou ao seu médico que seus seios faziam um “som de assobio”. O médico achou que isso era esquisito e apelou para um químico para responder isso.
O dr. James J. Bachman escreveu para o periódico New England Journal of Medicine, número 331, de 08/12/1994. A carta estava intitulada “Boyle’s Law and Breasts implants” (Lei de Boyle e Implantes de seios):
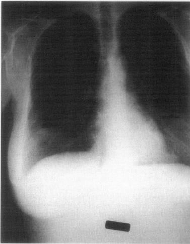
Para o editor: Uma mulher de 51 anos que tinha vindo recentemente do nível do mar apresentou tosse e congestão em nosso pronto-socorro em Frisco, Colorado (altitude, 3.200 m). Ela descreveu um “som de assobio” em seus seios. Ela teve implantes mamários salinos por 20 anos e notou esse som incomum em viagens anteriores a grandes altitudes. Ela disse que o som em seus seios desapareceria em seu retorno ao nível do mar ou desapareciam lentamente durante uma estadia prolongada em grandes altitudes. Uma radiografia de tórax revelou níveis hidroaéreos em forma de crescente em ambos os implantes .

A ar aprisionado em implantes mamários se expande em grandes altitudes de acordo com a lei de Boyle, que afirma que o volume de um gás confinado varia inversamente com a pressão. Aqueles de nós que vivem em grandes altitudes conhecem bem esse fenômeno. Quando voltamos para casa de altitudes mais baixas, nossos tubos de pasta de dente e sacos de batatas fritas se expandem. e assim os implantes mamários.
Então, já sabem. Se o peito de vocês começarem a apitar, é Robert Boyle aprontando das suas.

Significativo.
CurtirCurtir